Catarata Laser
La llegada del láser de femtosegundos a la cirugía de catarata ha supuesto una nueva evolución en el tratamiento quirúrgico más frecuente en el campo de la oftalmología: la cirugía de catarata.
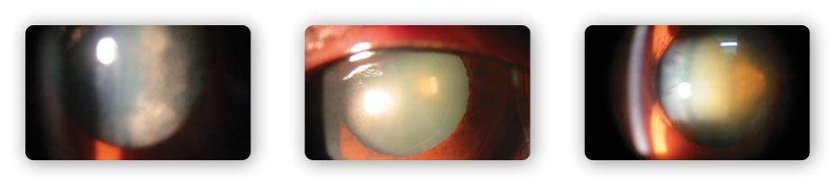
- Catarata -
La catarata es una opacidad del cristalino que impide a la luz alcanzar el interior del ojo, produciendo baja visión. En su gran mayoría se desarrollan en la edad avanzada, aunque existen otras causas, puede ocurrir en uno o ambos ojos, lo cual no significa que de un ojo se extienda al otro.



Síntomas:
